আমাদের মস্তিষ্কের উপর নিয়মিত ধ্যানের অভ্যাস খুবই গুরুত্বপূর্ণ প্রভাব ফেলে। নিয়মিত ধ্যানের অভ্যাস মনুষ্য-মস্তিষ্কের উপর ঠিক কি প্রভাব ফেলে তা বুঝতে গেলে আমাদের জানা প্রয়োজন যে ধ্যান করার সময় মস্তিষ্কে কি কি ঘটনা ঘটে চলে, আর জানতে হবে মস্তিষ্ক সংক্রান্ত কিছু ভিত্তিগত প্রশ্নের উত্তর, যেমন – “উপলব্ধি” কি ? মস্তিষ্ক তরঙ্গ কি ? মানুষ কোন তথ্য স্মরণ কিভাবে করে ? মনুষ্য-মস্তিষ্ক নতুন কিছুই বা ভাবে কিভাবে ? আমরা মস্তিষ্কের যে ভাবনাকে “সজ্ঞা” বলি বা যে ভাবনাকে “কল্পনা” বলি সেগুলির স্নায়ুবিজ্ঞান ভিত্তিক সংজ্ঞা কি ?
উপলব্ধি ও মস্তিষ্ক–তরঙ্গ কি ?
মানুষের মস্তিষ্ক অজস্র স্নায়ুকোষ বা “নিউরোন” এবং বেশ কিছু স্নায়ুকোষের সাহায্যকারী কোষ বা “গ্লিয়াল কোষ” নিয়ে তৈরি হয়।

কোন বাহ্যিক বা আভ্যন্তরীণ প্রভাবে মস্তিষ্কের নির্দিষ্ট স্নায়ুকোষ উদ্দীপিত হলে ঐ স্নায়ুকোষের প্লাজমা পর্দার স্থির তাড়িতিক বিভব-বৃদ্ধি লাগোয়া সাইন্যাপ্স-কে (একটি স্নায়ুকোষের অ্যাক্সন-র প্রান্ত বা একটি ডেনড্রাইট-র প্রান্ত এবং আরেকটি স্নায়ুকোষের একটি ডেনড্রাইট-র প্রান্তের সংযোগস্থল “সাইন্যাপ্স” নামে পরিচিত) সক্রিয় করে তোলে ও সেখানে “নিউরোট্রান্সমিটার” নামক রাসায়নিক পদার্থের ক্ষরণ ঘটায়। সাইন্যাপ্স-টির লাগোয়া আরও এক বা একাধিক স্নায়ুকোষ তাদের ডেনড্রাইট-এ উপস্থিত “নিউরোট্রান্সমিটার-রিসেপ্টর”-র সাহায্যে সেই নিউরোট্রান্সমিটার গ্রহণ করায় তাদেরও প্লাজমা পর্দার স্থির তাড়িতিক বিভব-বৃদ্ধি ঘটে অর্থাৎ তারাও উদ্দীপিত হয়।
এইভাবে কতগুলি স্নায়ুকোষের একই সাথে অথবা একটি ক্রমে উদ্দীপিত হয়ে ওঠা “উপলব্ধি”-র (অর্থাৎ ইন্দ্রিয়ের সাহায্যে অনুভব করা অথবা কিছু স্মরণ করা অথবা যুক্তির ভিত্তিতে নতুন কিছু ভাবা অথবা স্বজ্ঞা অথবা কল্পনা) পরিভাষা। হারমোনিয়ামের কিবোর্ড-র উপর বাদকের চঞ্চল আঙুলগুলোকে লক্ষ্য করবেন – কিভাবে আঙুলগুলো হারমোনিয়ামের কি-গুলিকে ছন্দবদ্ধভাবে আঘাত করে চলে। মস্তিষ্কের কিছু স্নায়ুকোষ কখনও কখনও এরকম ছন্দবদ্ধভাবেও উদ্দীপিত হয়। এক্ষেত্রে ঐ স্নায়ুকোষগুলির প্রত্যেকটি কিছুক্ষণ পর পরই বারবার উদ্দীপিত হয় – স্নায়ুকোষগুলির উদ্দীপিত হওয়ার এই ছন্দকে “মস্তিষ্ক-তরঙ্গ” বলে যা কম্পাঙ্কের ভিত্তিতে বিভিন্ন প্রকারের হতে পারে।
স্মরণ করা, নতুন কিছু ভাবা, স্বজ্ঞা, ও কল্পনা :
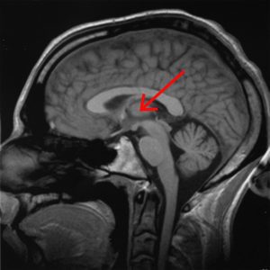
আমাদের মস্তিষ্কের “সেরিব্রাল কর্টেক্স” কতগুলি খণ্ডে বিভক্ত – “ফ্রন্টাল লোব”, “প্যারাইটাল লোব”, “অকিপিটাল লোব”, ও “টেম্পোরাল লোব”।

অকিপিটাল লোব-এ অবস্থিত “ভিসুয়াল কর্টেক্স”-এর কাছাকাছি রয়েছে একটি নিউরাল লুপ (নিউরাল লুপ হলো কতগুলি স্নায়ুকোষের সমষ্টি যারা কোন একটি নির্দিষ্ট কাজ করার জন্য একটি সিরিস বা ক্রমে সংযুক্ত থেকে উদ্দীপনাকে মস্তিষ্কের এক স্থান থেকে স্থানান্তরে নিয়ে যায়) যা দৃষ্টি সম্বন্ধীয় তথ্যের (ভিসুয়াল ইনফরমেশন) “শর্ট টার্ম মেমোরি”(স্বল্প মেয়াদী স্মৃতি) হিসাবে ব্যবহৃত হয়। এছাড়াও একটি ফোনোলজিকাল নিউরাল লুপ আছে যা ফ্রন্টাল লোব-এ অবস্থিত “ব্রকাস্ এরিয়া”-র সাথে সম্মিলিতভাবে শব্দ ও ভাষা সম্বন্ধীয় তথ্যের (অডিটারি ইনফরমেশন) শর্ট টার্ম মেমোরি হিসাবে কাজ করে। এই প্রসঙ্গে “শর্ট টার্ম মেমোরি” কি তা সহজ করে বলে দিই। আপনি এখন যে বাক্যটা পড়ছেন তার অর্থ বুঝতে গেলে বাক্যের শেষের দিকের অংশটা পড়ার সময় বাক্যের শুরুটাও আপনাকে মনে রাখতে হবে আর আপনার মস্তিষ্কের শর্ট টার্ম মেমোরি -ই এই কাজটা করে দেয় – অর্থাৎ অল্প সময়ের (১০ থেকে ১৫ সেকেন্ড অথবা কখনও ১ মিনিট) জন্য অল্প কিছু তথ্য সে ধরে রাখে।
মস্তিষ্ক চোখের মাধ্যমে “দৃষ্টি সম্বন্ধীয় স্বল্পমেয়াদী স্মৃতি”-তে (ভিসুয়াল শর্ট টার্ম মেমোরি) তথ্য সংগ্রহ করে তাকে দুটি উপাংশে বিশ্লেষণ করে – “স্থানিক দৃষ্টি সম্বন্ধীয় তথ্য”(স্পেসিয়াল ভিসুয়াল ইনফরমেশন) এবং “সময়গত দৃষ্টি সম্বন্ধীয় তথ্য”(টেম্পোরাল ভিসুয়াল ইনফরমেশন)। একইভাবে মস্তিষ্ক কানের মাধ্যমে “শব্দ ও ভাষা সম্বন্ধীয় স্বল্পমেয়াদী স্মৃতি”-তে (অডিটারি শর্ট টার্ম মেমোরি) যে তথ্য সংগ্রহ করে তাকে “স্থানিক শ্রবণ সংক্রান্ত তথ্য”(স্পেসিয়াল অডিটারি ইনফরমেশন) এবং “সময়গত শ্রবণ সম্পর্কিত তথ্য”(টেম্পোরাল অডিটারি ইনফরমেশন) -এ বিশ্লেষণ করে। এখন প্রশ্ন হল যে মস্তিষ্ক কিভাবে সংগৃহীত তথ্যগুলিকে স্থানিক উপাংশ (স্পেসিয়াল কম্পোনেন্ট) ও সময়গত উপাংশে (টেম্পোরাল কম্পোনেন্ট) বিশ্লেষণ করে। মস্তিষ্ককে এই কাজে সাহায্য করে এক বিশেষ প্রকার মস্তিষ্ক-তরঙ্গ – “গামা তরঙ্গ”। মস্তিষ্ক-তরঙ্গ কি তা আগেই বলেছি। এখনও পর্যন্ত মানুষের মস্তিষ্কে যত রকমের তরঙ্গ আবিষ্কৃত হয়েছে তাদের মধ্যে সবচেয়ে বেশী কম্পাঙ্কের মস্তিষ্ক-তরঙ্গ হলো এই গামা তরঙ্গ (৪০ – ১০০ হার্ৎজ কম্পাঙ্ক) যা ঘুমিয়ে স্বপ্ন দেখার সময় বা জাগ্রত অবস্থায়, এমনকি ধ্যানমগ্ন অবস্থাতেও অন্যান্য মস্তিষ্ক-তরঙ্গের পাশাপাশি আমাদের মস্তিষ্কে খেলে বেড়ায় !

আমাদের জেগে থাকা, ঘুমিয়ে পড়া, ঘুমিয়ে স্বপ্ন দেখা, ঘুম থেকে জেগে ওঠা, বা ধ্যানমগ্ন হওয়া – মস্তিষ্কের এই বিভিন্ন অবস্থাগুলো এবং পঞ্চ ইন্দ্রিয়ের সাহায্যে সংগ্রহ করা বিভিন্ন তথ্য মস্তিষ্কের যে সকল অংশ দ্বারা নিয়ন্ত্রিত হয় তাদের মধ্যে প্রধান হলো – “সেরিব্রাল কর্টেক্স”, “মিডব্রেইন”, ও “থ্যালামাস” যারা একে অপরের সাথে বেশ কিছু নিউরাল লুপ-র মাধ্যমে যোগাযোগ স্থাপন করে।


সেরিব্রাল কর্টেক্স ও থ্যালামাস সংযোগকারী যে নিউরাল লুপগুলিতে গামা তরঙ্গ বয়ে চলে সেগুলি আমাদের মস্তিষ্কে সংগৃহীত দৃষ্টি, শব্দ ও ভাষা সম্বন্ধীয় তথ্যগুলির স্থানিক উপাংশের অনুভূতি জাগায় এবং গামা তরঙ্গ বহনকারী যে নিউরাল লুপগুলি সেরিব্রাল কর্টেক্স-র সাথে মিডব্রেইন-কে সংযুক্ত করে তারা তথ্যগুলির সময়গত উপাংশের উপলব্ধিকে জন্ম দেয়।
মস্তিষ্ক সংগৃহীত দৃষ্টি, শব্দ ও ভাষা সম্বন্ধীয় তথ্যগুলিকে স্থানিক উপাংশ ও সময়গত উপাংশে বিশ্লেষণ করার পর দৃষ্টি সম্বন্ধীয় তথ্যের স্থানিক উপাংশগুলি মস্তিষ্কের “ভেন্ট্রাল ইনট্রাপ্যারাইটাল এরিয়া” ও ”ল্যাটারাল ইনট্রাপ্যারাইটাল এরিয়া”-তে এনকোডেড্ (সংকেতাক্ষরে লিখিত) হয় ও তারপর সেরিব্রাল কর্টেক্স এর ফ্রন্টাল লোব এর সামনের দিকে অবস্থিত “প্রিফ্রন্টাল কর্টেক্স” এর কেন্দ্রীয় নির্বাহী অংশটিতে (সেন্ট্রাল এক্সিকিউটিভ পার্ট) আসে। আবার শব্দ ও ভাষা সম্বন্ধীয় তথ্যের স্থানিক উপাংশগুলি “প্রাইমারী অডিটারি কর্টেক্স” এবং “কডাল অডিটারি বেল্ট ও প্যারাবেল্ট”-এ এনকোডেড্ হয়ে প্রিফ্রন্টাল কর্টেক্স এর ঐ একই অংশে আসে। প্রিফ্রন্টাল কর্টেক্স এর কেন্দ্রীয় নির্বাহী অংশটি এই সকল দৃষ্টি, শব্দ ও ভাষা সম্বন্ধীয় এনকোডেড্ তথ্যকে সার্চ ক্রাইটেরিয়া হিসাবে ব্যবহার করে “ডিক্ল্যারেটিভ লং টার্ম মেমোরি” (ব্যক্ত দীর্ঘ মেয়াদী স্মৃতি)-তে এনকোডেড্ অবস্থায় সঞ্চিত বিভিন্ন অভিজ্ঞতা (এক্সপিরিয়েন্স) বা ঘটনা (ইভেন্ট) বা সত্য (ফ্যাক্ট) বা ধারণা (কনসেপ্ট) সম্বন্ধীয় তথ্যগুলির মধ্য থেকে কিছু তথ্য উদ্ধার (রিট্রিভ) করে তাদেরকে ডিকোড্ (পাঠোদ্ধার করা) করে – এই প্রক্রিয়াকেই মস্তিষ্কের “স্মরণ করা” বলা হয়ে থাকে। আর উদ্ধার করা এনকোডেড্ তথ্যগুলিকে ডিকোড্ করার পর তাদেরকে “প্রিফ্রন্টাল কর্টেক্স” এর কেন্দ্রীয় নির্বাহী অংশটি যদি পুনরায় এনক্রিপ্ট করে, সেই প্রক্রিয়ার নামই “যুক্তির ভিত্তিতে নতুন কিছু ভাবা বা চিন্তা করা”[অর্থাৎ একটি মস্তিষ্কের যে কোন নতুন ভাবনা হলো আদতে ঐ মস্তিষ্কেরই কোন না কোন স্মৃতির এনক্রিপ্টেড্ রূপ]।

শব্দ ও ভাষা সম্বন্ধীয় তথ্যের সময়গত উপাংশগুলি প্রথমে “সুপিরিয়র টেম্পোরাল সালকাস”-এ সময়ের ভিত্তিতে ও তারপর “অ্যাসোসিয়েটিভ অডিটারি কর্টেক্স”-এ কম্পাঙ্কের ভিত্তিতে এনকোডেড্ হওয়ার পর “ভিসুয়াল কর্টেক্স”-এ আসে। আবার “সুপিরিয়র টেম্পোরাল সালকাস”-র পলিসেন্সরি অংশটি দৃষ্টি সম্বন্ধীয় তথ্যের সময়গত উপাংশগুলিকে এনকোড্ করে ভিসুয়াল কর্টেক্স-এ পাঠায়। ভিসুয়াল কর্টেক্স এই সকল এনকোডেড্ তথ্যকে সার্চ ক্রাইটেরিয়া হিসাবে ব্যবহার করে প্রোসিডিউরাল লং টার্ম মেমোরি (পদ্ধতিগত দীর্ঘ মেয়াদী স্মৃতি)-তে এনকোডেড্ অবস্থায় সঞ্চিত বিভিন্ন অর্জিত দক্ষতা (স্কিল) বা করণীয় কাজ (টাস্ক) সম্বন্ধীয় তথ্যগুলির মধ্য থেকে কিছু তথ্য রিট্রিভ করে তাদেরকে ডিকোড্ করে – মস্তিষ্কের এই কার্য সম্পাদন করার ক্ষমতাই “স্বজ্ঞা”(ইন্টিউয়েশন্)-র পরিচায়ক। আর রিট্রিভ করা এই এনকোডেড্ তথ্যগুলিকে ডিকোড্ করার পর তাদেরকে কাজে লাগানোর জন্য ভিসুয়াল কর্টেক্স যদি পুনরায় তাদেরকে এনক্রিপ্ট করে, সেই প্রক্রিয়াকেই “কল্পনা”(ইম্যাজিনেশন্) বলে।

মস্তিষ্কের ধ্যানমগ্ন অবস্থা ও ধ্যানের উপকারিতা :
মস্তিষ্ক তার ব্যক্ত দীর্ঘ মেয়াদী স্মৃতির নির্দিষ্ট কোন তথ্য যতবারই স্মরণ করুক না কেন সর্বদা নির্দিষ্ট কিছু সক্রিয় স্নায়ুকোষই উদ্দীপিত হয়, আবার স্বজ্ঞা ভিত্তিক কোন সিদ্ধান্ত গ্রহণের সময় মস্তিষ্কের কিছু সক্রিয় স্নায়ুকোষই উদ্দীপিত হয়ে ওঠে কারণ এইসকল ক্ষেত্রে মস্তিষ্কে শুধুই “ডিকোডিং” প্রক্রিয়া চলে। কিন্তু স্বল্প মেয়াদী স্মৃতির কোন তথ্য স্মরণ করার সময় কিংবা কল্পনা করার সময় অথবা যুক্তির ভিত্তিতে নতুন কিছু ভাবার সময় প্রত্যেক “ডিকোডিং” প্রক্রিয়ার পর “এনক্রিপ্শন্” প্রক্রিয়াও সম্পাদিত হয় বলে কিছু সক্রিয় স্নায়ুকোষের উদ্দীপিত হওয়া ছাড়াও কিছু নিষ্ক্রিয় স্নায়ুকোষ সক্রিয় হয়ে উদ্দীপিত হয়ে ওঠে। এই কারণে মস্তিষ্কে সর্বদাই কিছু নিষ্ক্রিয় স্নায়ুকোষ থাকা প্রয়োজন। তাই ঘুমানোর সময় মানব-মস্তিষ্কে বয়ে চলা প্রায় ১২ হার্ৎজ কম্পাঙ্কের “সিগ্মা মস্তিষ্ক-তরঙ্গ” ও ০.৫ – ২ হার্ৎজ কম্পাঙ্কের “ডেল্টা মস্তিষ্ক-তরঙ্গ” সচরাচর ব্যবহার হয় না এমন সক্রিয় স্নায়ুকোষগুলি থেকে নিউরোট্রান্সমিটার-রিসেপ্টর অপসারণ করে তাদেরকে নিষ্ক্রিয় করে দেয়, তবে তার ফলে সচরাচর ব্যবহার হয় না এমন কিছু তথ্যও মস্তিষ্কের ব্যক্ত দীর্ঘ মেয়াদী স্মৃতি থেকে হারিয়ে যায় অথবা মস্তিষ্কের স্বজ্ঞা ক্ষতিগ্রস্ত হয় !
আমরা আমাদের মস্তিষ্কের নিরুদ্বেগ (রিল্যাক্স্ড) অবস্থা বজায় রেখে যদি নির্দিষ্ট কোন কিছুতে (যেমন – কোন বস্তু কিংবা কোন শব্দ বা ভাষ্যের পুনরাবৃত্তি কিংবা নিজের শ্বাস-প্রশ্বাস কিংবা নিজেরই কোন অঙ্গের চলন বা নিজেরই মন্থর গমনের গতি অথবা কোন চিত্র বা দৃশ্যের ভাবনা) মনঃসংযোগ করি; তবে মস্তিষ্কের অগ্র, মধ্য, ও পশ্চাৎভাগে সচরাচর ব্যবহৃত হয় না এমন সক্রিয় স্নায়ুকোষগুলো খুব স্বল্প কম্পাঙ্কে ছন্দবদ্ধভাবে উদ্দীপিত হতে থাকে [মস্তিষ্কের অগ্রভাগে ও মধ্যভাগে স্নায়ুকোষগুলোর উদ্দীপনার এই ছন্দ “কর্টিকাল থিটা মস্তিষ্ক-তরঙ্গ”(৩.৫ বা ৪ হার্ৎজ কম্পাঙ্কের কাছাকাছি) এবং পশ্চাৎভাগে স্নায়ুকোষগুলোর উদ্দীপনার ছন্দটি “আলফা মস্তিষ্ক-তরঙ্গ”(কম্পাঙ্ক ৮ – ১২ হার্ৎজ) নামে পরিচিত ]। এরই পাশাপাশি আমাদের মস্তিষ্কের সেরিব্রাল কর্টেক্স ও থ্যালামাস সংযোগকারী নিউরাল লুপগুলিতে বয়ে চলা গামা মস্তিষ্ক-তরঙ্গ আমাদের মস্তিষ্কে “স্পেস” বা “স্থান” বা “দৈর্ঘ্য” বা “দূরত্ব”-র অনুভূতি জাগায়, এবং সেরিব্রাল কর্টেক্স-র সাথে মিডব্রেইন-কে সংযুক্ত করে এমন নিউরাল লুপগুলিতে বয়ে চলা গামা মস্তিষ্ক-তরঙ্গ মস্তিষ্কে “টাইম” বা “সময়”-র উপলব্ধিকে জন্ম দিয়ে থাকে। এসবের সম্মিলিত প্রভাবে বিভিন্ন ধরনের ধারণা (আইডিয়া) বা আবেগ (ইমোশন্) বা সংবেদন (সেনসেশন্) স্বতঃস্ফূর্তভাবে মস্তিষ্কে একে একে প্রকট ও বিলীন হতে থাকে – মস্তিষ্কের এই অবস্থাই সাধারণত ধ্যানমগ্ন অবস্থা নামে পরিচিত। ধ্যানমগ্ন অবস্থায় মস্তিষ্কে প্রকট হওয়া ধারণা বা আবেগ বা সংবেদনগুলিকে একের পর এক শুধু পর্যবেক্ষণ না করে যদি কোনটিকে বিবেচনা করা হয়, সঙ্গে সঙ্গে কর্টিকাল থিটা তরঙ্গ ও আলফা তরঙ্গ উৎপন্ন হওয়া বন্ধ হয় এবং উচ্চতর কম্পাঙ্কের “বিটা তরঙ্গ”(১২.৫ – ৩৯ হার্ৎজ) উৎপন্ন হতে শুরু করে। যার ফলে মস্তিষ্কের ধ্যানমগ্ন অবস্থার সমাপ্তি ঘটে !
সাধারণত ব্যবহৃত হয় না মস্তিষ্কের এমন সক্রিয় স্নায়ুকোষগুলো ধ্যানমগ্ন অবস্থায় উদ্দীপিত হয়ে থাকে বলে দীর্ঘদিন নিয়মিত ধ্যান অভ্যাসে সেই স্নায়ুকোষগুলো কখনই নিষ্ক্রিয় হয়ে যায় না ও ফলে মস্তিষ্কের ব্যক্ত দীর্ঘ মেয়াদী স্মৃতির সকল তথ্য চিরস্থায়ী হয় এবং মস্তিষ্কের স্বজ্ঞাও অক্ষত থাকে। এমতাবস্থায় স্বল্প মেয়াদী স্মৃতির তথ্য স্মরণ করা, যুক্তির ভিত্তিতে নতুন কিছু ভাবা, কল্পনা করা ইত্যাদি কার্য সম্পাদন করার জন্য মস্তিষ্কে নতুন নতুন নিষ্ক্রিয় স্নায়ুকোষ তৈরি হতে শুরু করে – মস্তিষ্কে নতুন নতুন স্নায়ুকোষ তৈরি হওয়ার এই ঘটনাকে “নিউরোজেনেসিস্” বলে। একদিকে মস্তিষ্কের ব্যক্ত দীর্ঘ মেয়াদী স্মৃতি ও পদ্ধতিগত দীর্ঘ মেয়াদী স্মৃতিতে সকল তথ্যের চিরস্থায়ীত্ব এবং অন্যদিকে সেই তথ্যগুলিকে প্রয়োজনমত এনক্রিপ্ট করে কাজে লাগাতে পারে এমন নিষ্ক্রিয় স্নায়ুকোষের আধিক্য মস্তিষ্ককে অসাধারণ স্মৃতিশক্তি, কল্পনাশক্তি, স্বজ্ঞা, এবং যৌক্তিক সৃজনশীলতা প্রদান করে।
গভীরতর ধ্যানমগ্ন অবস্থা :
দীর্ঘদিন ব্যাপী স্বাত্ত্বিক জীবনে ও নিয়মিত ধ্যানে অভ্যস্ত কোন ব্যক্তি চাইলে গভীরতর ধ্যানে মগ্ন হতে সক্ষম হন যে ধ্যানমগ্ন অবস্থায় গামা তরঙ্গ শুধু পূর্বোক্ত নিউরাল লুপগুলিতে সীমাবদ্ধ না থেকে মস্তিষ্কের বহু অংশে যেমন “থ্যালামাস”, “ভিসুয়াল কর্টেক্স”-এ কর্টিকাল থিটা তরঙ্গ ও আলফা তরঙ্গ-র প্রভাবকে খর্ব করে রাজত্ব শুরু করে। এইভাবে দীর্ঘক্ষণ ধ্যানমগ্ন থাকলে উচ্চ কম্পাঙ্কের গামা তরঙ্গের প্রভাবে যদি থ্যালামাস খুব অল্পও ক্ষতিগ্রস্ত হয়, মস্তিষ্কে গামা তরঙ্গের প্রবাহ সঙ্গে সঙ্গে চিরকালের জন্য বন্ধ হয়ে যায়। আগেই বলেছি যে গামা তরঙ্গের প্রবাহ মস্তিষ্কে “স্পেস” ও “টাইম”-র ধারণা সৃষ্টি করে। বস্তুত গামা তরঙ্গই সেরিব্রাল কর্টেক্স ও থ্যালামাস সংযোগকারী নিউরাল লুপগুলির সাথে সেরিব্রাল কর্টেক্স ও মিডব্রেইন সংযোগকারী নিউরাল লুপগুলির রেজোনেন্স ঘটিয়ে মস্তিষ্কে তৈরি করে “স্পেস-টাইম কন্টিনিউয়াম”-র ধারণা। তাই মস্তিষ্কে গামা তরঙ্গের প্রবাহ চিরতরে বন্ধ হলে মস্তিষ্কের “স্পেস-টাইম কন্টিনিউয়াম”-র ধারণাও চিরতরে বিলুপ্ত হয়, অন্যভাবে বলা যায় যে ধ্যানমগ্ন ব্যক্তিটির মস্তিষ্ক চিরতরে “কোমা”-য় চলে যায় !


যদি কোনো কিছুর সময় যদি না থাকে সেটা শেষ কি করে হয় সেটা অসীম হয়ে যায়,সিমা হীন নয় কি ???
প্রশ্নটা করার জন্য আপনাকে ধন্যবাদ !
বাস্তব (Reality) আপেক্ষিক, অর্থাৎ বাস্তব পর্যবেক্ষকের (Observer) উপর নির্ভরশীল। যে কোনো পর্যবেক্ষণীয় (Observable) বিষয় হলো আসলে দেশ (Space) ও শক্তির (Energy) রসায়ন। দেশ ও শক্তির সাধারণ পরিচয় হলো যে তারা প্রত্যেকেই রাশি (Quantity)। অর্থাৎ যে কোনো পর্যবেক্ষণীয় বিষয় হলো রাশির রসায়ন। আবার পর্যবেক্ষণীয় বিষয়ের সাথে পর্যবেক্ষকের দৃষ্টিভঙ্গির (Perspective) যে রসায়ন, তাকে বলা হয় উপলব্ধি (Perception)। পর্যবেক্ষক কোনো জীব হোক কিংবা যন্ত্র; পর্যবেক্ষণের ফলে কোনো পর্যবেক্ষণীয় বিষয় সম্পর্কে পর্যবেক্ষকের মধ্যে যে উপলব্ধি জন্ম নেয়, তাকেই বলা হয় সেই পর্যবেক্ষকের সাপেক্ষে “বাস্তব”। কোনো ব্যক্তি বা জীব বা বস্তু বা ঘটনা হলো বাস্তেরই উদাহরণ। প্রসঙ্গত বলি, দেশ হলো পর্যবেক্ষকের দৃষ্টিভঙ্গি নিরপেক্ষ রাশি কিন্তু শক্তি হলো এমন রাশি যা পর্যবেক্ষকের দৃষ্টিভঙ্গির উপর নির্ভরশীল। আমরা যাকে “পর্যবেক্ষকের দৃষ্টিভঙ্গি” বলছি তার অপর নাম হলো সময় (Time)। যাই হোক; আমরা বুঝলাম; দেশ (Space), শক্তি (Energy), ও সময় (Time) – এই তিনের একত্র রসায়নই হলো বাস্তব; এবং সূচনা, অন্ত ইত্যাদি হলো বাস্তবের অঙ্গসমূহ। সেইজন্য কোনো পর্যবেক্ষক সময়ের জ্ঞান হারিয়ে ফেলার অর্থ হলো পর্যবেক্ষকটির সাপেক্ষে যে কোনো কিছুই অস্তিত্বহীন হয়ে যাওয়া অর্থাৎ পর্যবেক্ষকটির সাপেক্ষে যে কোনো কিছুর সূচনা ও অন্ত উভয়ই বিলুপ্ত হওয়া, পর্যবেক্ষকটির সাপেক্ষে একে অসীম বা সীমাহীন বলা যায় না, কারণ অসীম বা সীমাহীনের সূচনা থাকতে পারে।